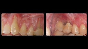
Before and after slides of periodontal work by Dr. Alexander Schrott. Periodontics Massachusetts, dental implants Boston. Dr. Alexander Schrott is a periodontics professional serving Brighton, Massachusetts, specializing in dental implants, gums (gum recession, gum surgery), cosmetic periodontal, bone graft, and crown lengthening.
